CLAHE算法增強局部對比度的X光圖像增強效果對比_3D

目錄

  • 1 概述
  • 2 單位
  • 3 窗口設置:窗口寬度和窗口水平
  • 4 更改窗口設置的意義
  • 5 軟組織窗口
  • 6 骨骼窗
  • 7 肺窗
  • 8 腹部窗口
  • 9 肝臟窗口
  • 10 媒體窗口
  • 11 CTA窗口
  • 12 腦窗
  • 13 腦卒窗

概述
本文討論了通常被忽視的CT研究的一個重要細節:在圖像分析過程中適當的窗口化。窗口化研究對解釋患者解剖結構以及任何病理的能力有重大影響,可以説是在處理CT圖像中,一個重要的預處理工作。

CLAHE算法增強局部對比度的X光圖像增強效果對比_ico_02

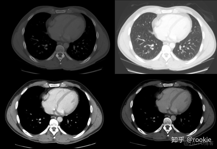
上圖顯示了不同的窗口設置,這些窗口設置展示了窗口化對CT掃描外觀的巨大影響。

這些窗口設置只是CT掃描的圖像處理功能,有助於突出顯示關鍵的解剖結構/發現,從而使圖像解釋儘可能容易。例如使用“骨骼窗口”清晰地顯示掃描的骨骼,以識別骨折。

單位
在考慮窗口化時,需要注意單位Hounsfield unites(HU)。其中,HU值越高,對象越密集。

CLAHE算法增強局部對比度的X光圖像增強效果對比_f5_03

介紹資源:

https://www.youtube.com/watch?v=4pb1f79h7_I&feature=youtu.bewww.youtube.com

為了避免有讀者不方便看youtube上的視頻,筆者將視頻下載並上傳,可以直接點下面的鏈接進行觀看。

知乎視頻www.zhihu.com


調整窗口設置以處理這些Hounsfield單元,並將某些值與白色,灰色和黑色的不同陰影相關。以下各節將對此進行詳細説明。

窗口設置:窗寬和寬口水平
經常查看CT圖像時,會有“標準”窗口設置,可以在圖像查看器中快速使用。這些設置易於使用,通常是最實用的方法,可在窗口設置之間快速切換。它們還可以幫助教授對理解確切的窗口設置非常重要的概念。下面是一些標準窗口設置的示例,可以在用於讀取CT掃描的特定程序中找到這些窗口設置。

CLAHE算法增強局部對比度的X光圖像增強效果對比_#python 計算對比度_04

上圖中看到的數字代表兩個不同的值。列出的第一個值是窗口寬度(w / w),第二個值表示窗口級別(w / l)。讓我們快速定義每個值代表什麼。窗寬: 窗口寬度是指將用不同的灰色陰影表示的不同HU單元的數量。低於窗口寬度下限值的任何HU值在掃描時將顯示為黑色,而高於窗口寬度上限值的任何HU值將為WHITE。

CLAHE算法增強局部對比度的X光圖像增強效果對比_#python 計算對比度_05

窗位:

更改窗口設置的意義
瞭解諸如窗口寬度和窗口級別之類的內容似乎很乏味,但是調整這些設置可能會對圖像解釋產生重大影響。這是因為在CT掃描中,人眼只能看到從黑色到灰色再到白色的有限數量的顏色。這些設置可以調整這些顏色的使用方式,並可以調整圖像的對比度和亮度。以下是更改每個設置將會如何更改圖像的簡要介紹:

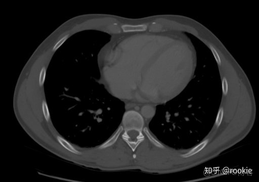
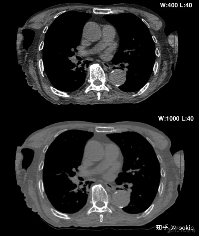
調整窗口寬度:增大窗口寬度將降低圖像的對比度:隨着窗口寬度的增加,將需要更大的密度變化來改變代表某個HU單位的灰色陰影。由於更多的結構看起來相似(儘管密度不同),因此會導致對比度下降。減小窗口寬度將增加 圖像的對比度: 隨着窗口寬度的減小,密度的較小變化將導致研究圖像的顏色發生變化。由於密度接近的結構將具有不同的灰色/白色/黑色陰影,因此將提供更高的對比度。

CLAHE算法增強局部對比度的X光圖像增強效果對比_f5_06

上面的圖像顯示了增加窗口寬度將如何降低圖像的對比度。與下窗格相比,頂部窗格的窗口寬度更小,皮下組織中的肌肉和脂肪之間的對比更加明顯。

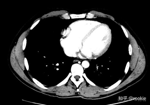
調整窗位:增大窗位將降低圖像的亮度: 隨着窗口級別的增加,圖像將變得更暗。這是因為隨着級別的增加,將需要更高的HU值才能將密度表示為白色。減小窗位將增加圖像的亮度: 隨着窗口級別的增加,圖像將變得更暗。這是因為隨着水平的降低,需要較低的HU值才能將密度表示為白色。

CLAHE算法增強局部對比度的X光圖像增強效果對比_ico_07

上圖演示了降低窗口水平如何增加圖像亮度。頂部窗格具有更高的窗口水平,在窗口寬度內包含密度的組織比底部窗格中的組織要暗得多。

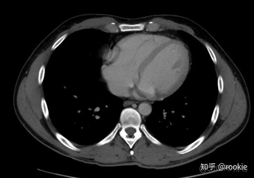
軟組織窗口窗口設置: (W:350,L:50)優點: 顧名思義,此窗口用於評估軟組織。窗口級別設置為軟組織的密度(50 HU),中等大小的窗口用於在對比度和分辨率之間取得平衡。

CLAHE算法增強局部對比度的X光圖像增強效果對比_#python 計算對比度_08

軟組織窗口有助於查看軟組織。

骨骼窗口窗口設置: (W:2000,L:500)或(W:3000,L:1000)優點: 顧名思義,此窗口可用於查看骨骼。靠近骨骼密度的高窗口水平(考慮到其密度水平為高)與寬窗口一起使用可提供良好的分辨率。

CLAHE算法增強局部對比度的X光圖像增強效果對比_3D_09

骨骼窗口對於評估骨骼結構非常有用,某些骨病理學只能在這個窗口上看到。

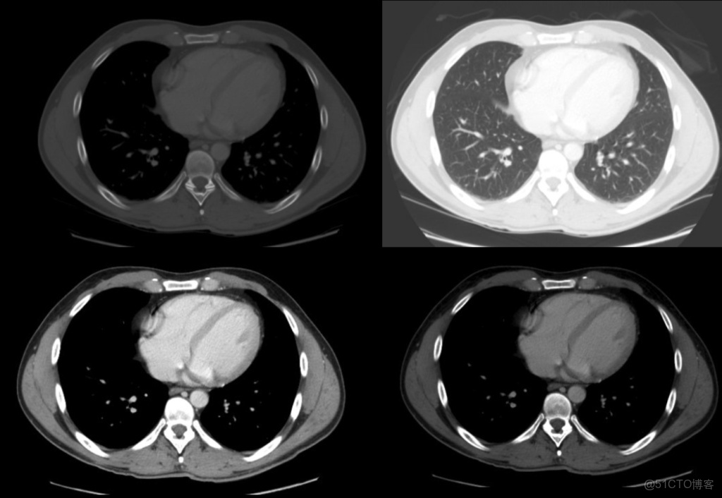
肺窗口窗口設置: (W:1600,L:-600)或(W:1500,L:-500)優點: 顧名思義,此窗口用於評估肺。靠近肺組織密度的高窗口水平(鑑於其低密度水平為低),並與寬窗口一起使用以提供良好的分辨率並可視化胸部的各種密度,例如肺實質以及相鄰的血管。

CLAHE算法增強局部對比度的X光圖像增強效果對比_#python 計算對比度_10

肺窗有助於評價肺,某些胸部病理學(如特定類型的結節)只能在這個窗口上看到。

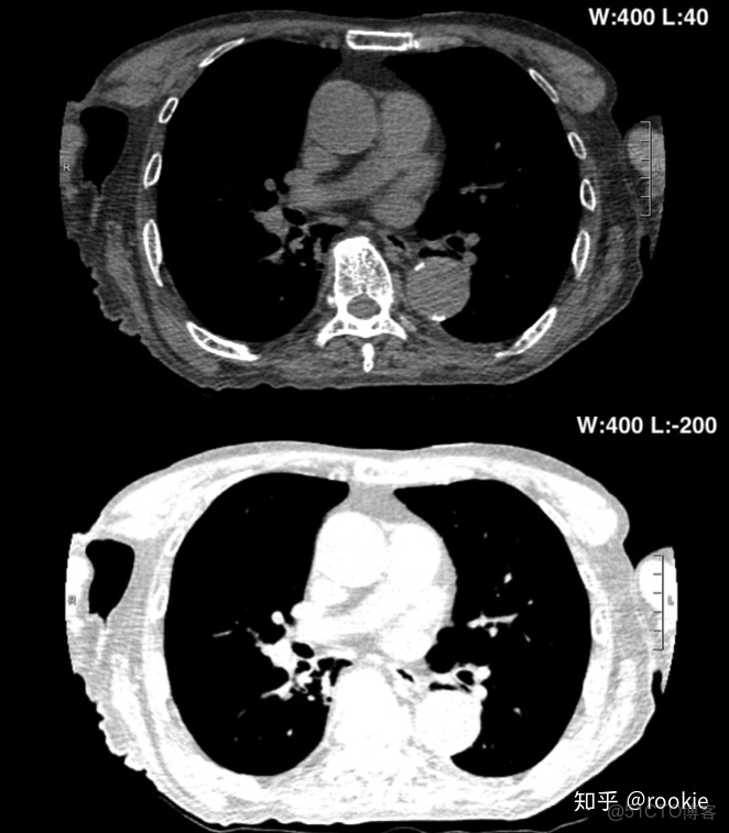
腹部窗口窗口設置: (W:400,L:40)優點: 顧名思義,該窗口用於評估腹腔及其內容物。接近流體/軟組織的窗口水平與中等大小的窗口一起使用,可提供中等程度的對比度。

CLAHE算法增強局部對比度的X光圖像增強效果對比_ico_11

腹窗可用於評估腹腔內的病變。

肝臟窗口視窗設定: (W:160,L:60)優點:該窗口類似於腹部窗口,但是利用較窄的窗口來增加肝實質中的對比度(以便使肝臟病變的查找更容易)。

CLAHE算法增強局部對比度的X光圖像增強效果對比_ico_12

肝窗顯示出比腹窗更高的對比度,因為它使用了更窄的窗。

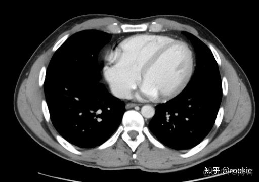
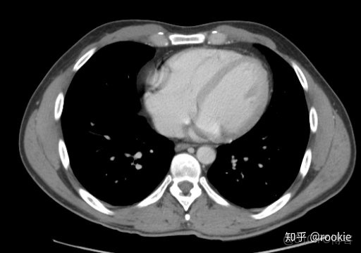
縱隔窗口窗口設置: (W:500,L:50)優點: 這些設置在本質上與軟組織設置或腹部設置相似,並進行了微調,以儘可能清晰地顯示出縱隔病理。

CLAHE算法增強局部對比度的X光圖像增強效果對比_#python 計算對比度_13

縱隔窗與腹部或軟組織窗相似,但稍作調整以顯示縱隔結構。

CTA窗口窗口設置: (W:600,L:170)或(W:650,L:225)優點: 在評估CT血管造影研究(或在血管中具有明顯對比的CT掃描的任何階段)時,此設置可用於嘗試清晰地觀察血管病變。它在提供目標血管信號的同時具有良好的平衡,而無需血管內的亮度過高會沖洗腔內病變。

CLAHE算法增強局部對比度的X光圖像增強效果對比_ico_14

此窗口用於在感興趣的血管中有相當大的對比度的情況下(例如CT血管造影)。

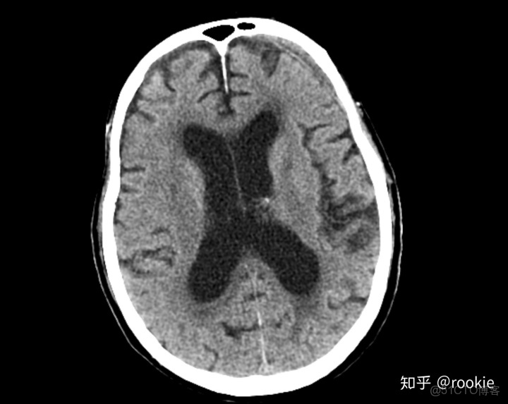
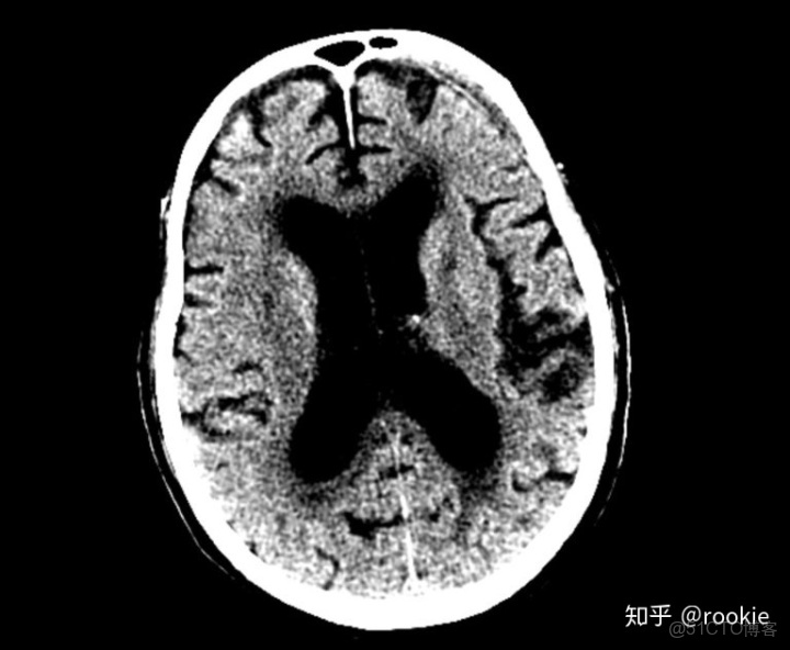
腦窗窗口設置: (W:70,L:30)或(W:70,L:35)優點: 此窗口旨在評估腦實質(通常在非對比掃描中),並且在拾取顱內出血時特別敏感,窗口狹窄且水平接近預期的腦出血密度。

CLAHE算法增強局部對比度的X光圖像增強效果對比_f5_15

腦窗是用來評估腦實質,經常被用來評估顱內出血,在這張圖片上有一個左額葉的慢性硬膜下血腫。

腦卒窗口窗口設置: (W:30,L:30)優點: 此窗口也可用於評估Brian實質,但在評估卒中背景下可能出現的低密度狀態方面更好(儘管其他病因也是可能的)。它具有與上述大腦窗口相似的水平,但是具有更窄的窗口,從而增加了對比度並幫助低密度顯得更為突出。

CLAHE算法增強局部對比度的X光圖像增強效果對比_f5_16

使用腦卒窗口可以使大腦產生更大的對比度,此設置將使低密度區域更加可見。

推薦閲讀: 如何使用python讀取、調窗並保存醫學Dicom圖像文件。圖像識別 | 計算機斷層掃描基礎:加窗推薦閲讀: 如何使用python讀取、調窗並保存醫學Dicom圖像文件。

rookie:圖像識別 | 使用Python對醫學Dicom文件的預處理(含代碼)


CLAHE算法增強局部對比度的X光圖像增強效果對比_#python 計算對比度_17

參考資料:

https://www.stepwards.com/?page_id=21646www.stepwards.comCT windows, levels and densities SHORT VERSIONwww.youtube.comhttps://myctregistryreview.com/courses/my-ct-registry-review-demo/lessons/ct-physics/topic/window-width-and-window-level/myctregistryreview.com